Home
Best Dentist Rogers, AR Has To Offer
Welcoming New Patients to Heather Adams Dentistry
Heather Adams, DDS:
Your Local Family Dentist in Rogers, AR
Dr. Heather Adams leads a team of dental care professionals dedicated to not only the health of your smile, but to helping you enjoy a smile that is comfortable, looks natural, and supports your overall health and wellbeing.
We Say & Do Dentistry Differently
and we mean it....
For us, it’s never just been about dentistry, it’s about caring for people.
That’s what ‘Inspired by Compassionate Health’ means. It means my team and I see you.
Really see you.
This is how we do dentistry differently.
This is Heather Adams Dentistry.
Where compassionate health inspires everything we do, and heartfelt relationships sustain us everyday.
New Patients Welcome
We offer a full range of dental services to meet your oral health needs and cosmetic dentistry goals. Visit for a variety of popular dental services, from routine preventive dental care to tooth replacement for missing teeth. Your Rogers, AR dental care is provided in a caring, compassionate manner.
Doing Dentistry Differently
Meet Dr. Adams
Heather Adams, DDS strives to establish a doctor-patient relationship based on communication, education and trust.
She is committed to continuing education for the benefit of our patients, and the highest standard of dental care in Rogers, Arkansas.
EXCELLENT Based on 495 reviews Rebecca W.2025-07-08Trustindex verifies that the original source of the review is Google. Simply the best :) Kathy Cox2025-07-08Trustindex verifies that the original source of the review is Google. What's worst than going to the dentist? .......... having to go to a dentist that isn't Dr. Heather Adams.... Treat yourself, to a progressive, modern dentist, Dr. Adams.. Hannah Harrison2025-06-26Trustindex verifies that the original source of the review is Google. I am not one to write reviews, although I wanted to take this opportunity in hopes that it would help someone else. Heather Adams Dentistry is absolutely phenomenal! I came as a new patient who experienced severe TMJ pain, and received treatment, support, and resources for this. I live two hours away from the office location, and after experiencing their top-tier service, professionalism, and in-depth knowledge, I would most definitely transfer all of my dental care to Heather Adams Dentistry. The entire team goes above and beyond to make you feel informed, comfortable, and truly cared for. It’s rare to find a place this dedicated to excellence. If you want to look forward to your dental appointments, this is the place to go. I simply can’t recommend them enough! Jennifer Main2025-06-25Trustindex verifies that the original source of the review is Google. I LOVE Dr. Adams and all of her staff! Each person is so so kind. I highly recommend them for all of your dental needs Lyn Jackson2025-06-21Trustindex verifies that the original source of the review is Google. The Dental Hygienist is THE ABSOLUTE BEST!!! I love Dr Adams too! The whole staff are amazing & really work as a TEAM! I love this place & highly recommend it to everyone!!! Francis Sick2025-06-18Trustindex verifies that the original source of the review is Google. Very personable! From the initial greeting to the final goodbye, everyone took a keen interest in me as a human being and my dental health. Jeff Jackson2025-05-23Trustindex verifies that the original source of the review is Google. The entire staff is wonderful, friendly and very welcoming! Lynsey did a great job cleaning my teeth and making recommendations for future needs!!!Verified by TrustindexTrustindex verified badge is the Universal Symbol of Trust. Only the greatest companies can get the verified badge who has a review score above 4.5, based on customer reviews over the past 12 months. Read more
How Can We Help?
Transform your smile, transform your life.
Welcome to the dental practice of Dr. Heather Adams, recently voted best dentist in Rogers, AR! We serve patients of all ages from many communities in Northwest Arkansas. Our office is located near the Pinnacle Wal-Mart Neighborhood Market. We provide a warm, welcoming atmosphere where you are treated as an individual. Our Rogers, AR dentist is dedicated to providing long-term results for lasting smiles.
Custom Smile Makeovers
From full smile veneers to teeth whitening, we have you covered.How Can We Help?
Treatment for Dental Concerns in Rogers, Arkansas
Invisalign Clear Aligners
straighter smiles in Rogers, AR
real patient results
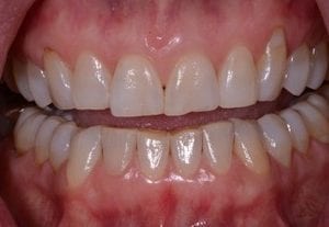
Clay: A Beautiful Smile for Life
Clay’s smile transformation was accomplished utilizing a phased approach by first aligning his. teeth with Invisalign, followed by the HAD custom whitening protocols and four beautiful porcelain restorations.
Why choose Invisalign?
Comfortable Treatment
Invisalign aligners are made from a unique material that does not irritate the gums.
Convenient Treatment
Invisalign aligners can be removed to enjoy your favorite foods.
Discreet Treatment
Clear aligners are virtually invisible- no one has to know you are wearing braces!
Effective Treatment
Invisalign offers effective treatment for common orthodontic concerns.
Real Patient Smiles
Our Smile Gallery:
Every Smile Tells a Story


