Do you want to improve the appearance of your smile? Dr. Heather Adams can help you design a smile with her cosmetic dentistry services in Rogers, AR. Dr. Adams will work with you to create a plan to improve your smile. Whether you want big changes or just want brighter teeth, we’ll design a treatment plan to give you beautiful and long-lasting results.
Dr. Heather Adams is a highly skilled and trained cosmetic dentist in Rogers, AR. She works with patients to build the smile of their dreams. Dr. Adams can help you plan and meet your smile goals. She can enhance your smile with smile design services.

What is Cosmetic Dentistry?
Cosmetic dentistry focuses on how your teeth look. It’s not just about knowing the structure of a patient’s mouth; dentists also need an artistic eye. They need special training to perform cosmetic treatments correctly.
A good cosmetic dentist must also find the right solutions to deliver the results that each patient wants. Dr. Adams will create a personalized plan for every patient. She can repair cosmetic blemishes to enhance your smile with traditional and innovative solutions.
Cosmetic Dentistry Can Also Support Your Oral Health
Any dental concern that affects the appearance of your smile can be considered a cosmetic dental concern. Some of these concerns can also affect your oral health if left untreated. When you treat your cosmetic concerns you can also improve the function and health of your teeth and gums.
Dr. Adams can improve your smile’s natural beauty and fix any issues. She wants you to leave her office feeling confident.
What cosmetic concerns does cosmetic dentistry address?
Cosmetic dentistry can improve the look of your smile because it fixes common dental issues. Here are some concerns that cosmetic treatments can help with:
- Teeth Discoloration: Teeth can darken over time because of aging, smoking, and poor oral hygiene. Even coffee, tea, and soda can stain teeth. We can remove stains and brighten your smile.
- Damaged Teeth: Damaged teeth can make you feel self-conscious about your smile. Treatments like dental bonding and porcelain veneers can restore the look of your teeth. We can help fix your teeth and make them look natural.
- Crooked Teeth: Treatments like Invisalign can gently move them into the right position if you have overcrowded or crooked teeth. A straighter smile not only looks better, but it also makes it easier to keep your teeth clean and healthy.
- Irregular Tooth Shape or Size: Some people have teeth that are too small, too large, or unevenly shaped. We offer treatments like veneers or bonding. These cosmetic options can create a balanced smile.
- Gaps Between Teeth: Tooth gaps can make some people feel insecure about their smiles. We can close these spaces with Invisalign, bonding, or veneers to give you a more even and polished look.
Cosmetic Dentistry in Rogers, AR
Dr. Adams believes that cosmetic dentistry is a dental service that can change your personal perception. She also believes that cosmetic dentistry can create a more positive overall outlook in life. Dr. Adams and her team strive to always incorporate the highest level of attention to detail.
Achieving optimal function and appearance is always a high priority in our practice. Our commitment is to deliver high-quality and beautiful results to our patients. Dr. Adams is an avid student of dentistry. She consistently attends over 50 hours of continuing education a year of courses that focus on cosmetic care.
“Dr. Adams and her team are truly amazing! Everyone greets you with a smile, and they are ready to help in any way possible! They are very knowledgeable, efficient, and kind. They will pamper you and have your teeth tip-top in no time. I highly recommend this Doctor!”
-Molly S.
Smile Makeovers in Rogers, AR
Dr. Adams believes that when patients are happy with their smiles, it can improve their entire outlook on life. You can feel more comfortable when you cover tooth chips and cracks, replace missing teeth, and whiten your smile. It can also encourage you to smile more often and support your long-term oral health.
At our Northwest Arkansas dentist office, we help patients understand their options. Dr. Adams works one-on-one with patients to achieve their dream smile. We offer a full range of state-of-the-art cosmetic dental services from the comfort of our office in our private treatment suite. Our list of cosmetic dental services includes:

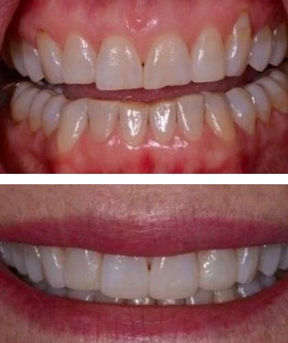
Before and After a Smile Makeover from Heather Adams
Teeth Whitening
Do you want an easy and affordable way to improve how your teeth look? In-office professional teeth whitening is fast and can whiten teeth up to 8 shades in just one hour. We also offer take-home whitening kits if you want a more subtle and gradual result. To learn more about why professional teeth whitening is better than store-bought products, see Teeth Whitening.
Tooth Bonding
Dental bonding is a tooth-colored resin material that can provide an instant and affordable smile makeover. We apply it and sculpt it by hand into the proper shape.
Our office can also complete bonding treatment in one visit. Most patients experience minimal to no discomfort. To learn more about the benefits of dental bonding, see Tooth Bonding.
Porcelain Veneers
Veneers are made from high-quality, ultra-thin porcelain. They are strong and custom-matched to your teeth. As a permanent dental restoration, dentists use them to correct discolored, crooked, damaged, and misshapen teeth. To learn more about the benefits of dental veneers, see Porcelain Veneers.
Invisible Braces
Invisible braces are for patients who have mild to moderate orthodontic problems. Dentists use them to correct crooked or misaligned teeth, cross bite, over bite or underbite. Clear aligner systems involve a series of custom-made aligners for about 2 weeks each to slowly move your teeth into the correct position. To learn more about what to expect from Invisalign treatment, see Invisible Braces.
Dental Crowns
We can use dental crowns for cosmetic reasons or treat tooth damage or stained teeth. A crown is a tooth-shaped cap we place over your natural tooth. To learn more about the dental crown procedure, see Dental Crown.
Dental Implants
Dental implants have become the top choice for replacing missing teeth because they look and work just like natural teeth. Unlike older solutions like dentures or bridges, implants give you a permanent smile that looks completely real.
To learn more about how dental implants work, see Dental Implants.
Botox® Cosmetic
Dentists have begun to use Botox for many reasons. It can help reduce the appearance of the gum line or reduce papilla. Botox is also a popular treatment for TMJ disorders because it relaxes the facial muscles.
Modern cosmetic dentistry includes services that can enhance your teeth, gums, and facial aesthetics. Dr. Adams provides Botox to relax wrinkles and fine lines. We can minimize the effects of bruxism or teeth grinding with Botox.
As a dentist, Dr. Adams is highly versed in the minute details of facial structure and anatomy. This makes her uniquely qualified to produce highly natural results with injectable wrinkles and fine lines treatments. To learn more about how Botox injections work, see Botox.

Cosmetic Dentistry FAQs
We have answers to some of the most common questions about cosmetic dentistry in Rogers, AR.
What is the most popular cosmetic dentistry treatment?
The most popular cosmetic dentistry treatment is teeth whitening. People choose it because it effectively brightens their smile and removes stains from coffee, tea, wine, or aging. One of the biggest reasons for its popularity is that it works fast. Many patients see noticeable results after just one treatment. Teeth whitening is a top choice if you want a quick way to brighten your teeth.
Can you use teeth whitening strips with Invisalign?
We don’t recommend that you use teeth whitening strips with Invisalign. Invisalign trays should fit snugly over your teeth. The whitening strips wouldn’t fit underneath the aligners and could cause uneven results or discomfort. Instead we recommend that you whiten your teeth after you complete Invisalign.
Does tooth bonding require special care?
Tooth bonding doesn’t need special care. You’ll still need to maintain good oral hygiene to keep it in good condition.
Brush and floss your teeth daily, and don’t bite on hard objects like ice. These hard objects can damage the material. Also, limit foods and drinks that can stain, like coffee, tea, and red wine.
Do porcelain veneers ever fall off?
Porcelain veneers can fall off. But this is rare if you take care of them and visit a dentist regularly to check the condition of your veneers. Do not use your teeth to open things, chew on hard objects, or bite into hard foods.
Keep up with good oral health and visit your dentist yearly to check the condition of your veneers. See us if a veneer does come off. We can reattach it in our office.
What is the best age to get invisible braces?
The best time to get invisible braces like Invisalign is during the teenage years. Most kids have all or most of their permanent teeth by ages 12 to 14. But adults can also benefit from invisible braces. While treatment might take a little longer for older patients, clear aligners still work well at any age.
Does insurance cover the dental implant procedure?
Insurance coverage for dental implant procedures can vary. Some plans may cover some of the cost if you need the implant because of an accident or injury. Many plans consider implants a cosmetic procedure and offer limited or no coverage.
Check with your insurance provider to understand your benefits. We also offer payment plans to help manage the cost.
What is the difference between Botox and Botox Cosmetic?
The difference between Botox and Botox Cosmetic lies in their uses. Both contain botulinum toxin type A. Many providers use Botox for medical purposes to treat chronic migraines and muscle spasms.
Botox Cosmetic is best for aesthetic treatments. It can reduce the appearance of wrinkles and fine lines.
Does cosmetic dentistry hurt?
You may feel a bit sensitive after treatments like veneers or teeth whitening. But we’ll numb your mouth so you won’t feel pain. We’ll also recommend that you use toothpaste for sensitive teeth after treatment. Most people find cosmetic dentistry treatments to be painless.
Book a Consultation for Cosmetic Dentistry in Rogers, AR
Do you want to book a cosmetic consultation? Dr. Adams will sit down with you to discuss your cosmetic goals and dental care concerns. Together, you’ll build a custom treatment plan. Dr. Adams will explain your treatment options so you can make the best choice for your budget and goals.
Contact our Rogers, AR, dentist office at (479) 323-3011. You can also request an appointment with our online form.
